İzole tubal torsiyon: Beş olgunun ultrasonografi ile başarılı preoperatif tanısı ve laparoskopi ile yönetimi
PDF
Atıf
Paylaş
Talep
Olgu Sunumu
CİLT: 14 SAYI: 3
P: 187 - 190
Eylül 2017

İzole tubal torsiyon: Beş olgunun ultrasonografi ile başarılı preoperatif tanısı ve laparoskopi ile yönetimi

Turk J Obstet Gynecol 2017;14(3):187-190
1. University of Health Sciences, Ankara Etlik Zübeyde Hanım Women’s Health Training and Research Hospital, Clinic of Obstetrics and Gynecology, Ankara, Turkey
2. Ankara Numune Training and Research Hospital, Clinic of Obstetrics and Gynecology, Ankara, Turkey
Bilgi mevcut değil.
Bilgi mevcut değil
Alındığı Tarih: 08.04.2017
Kabul Tarihi: 13.06.2017
Yayın Tarihi: 06.11.2017
PDF
Atıf
Paylaş
Talep
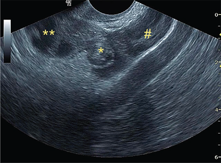
Anahtar Kelimeler:
İzole tubal torsiyon, ultrasonografi, , burgaç bulgusu, olgu serisi